
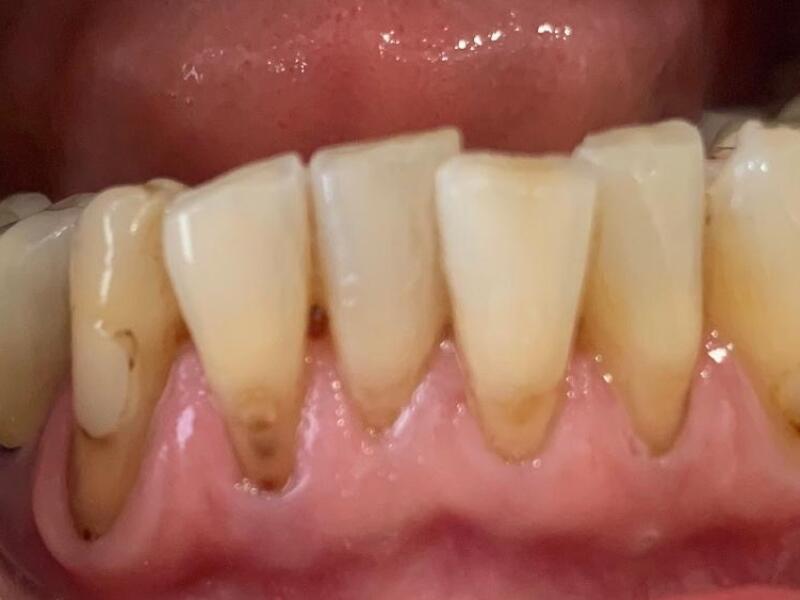
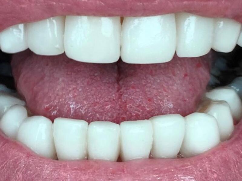
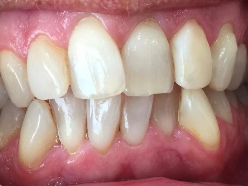
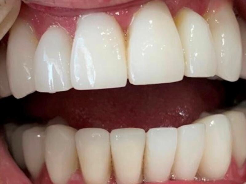
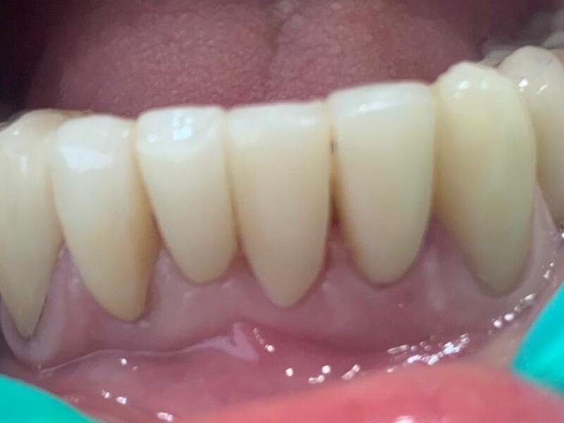
¿Qué es una carilla dental?
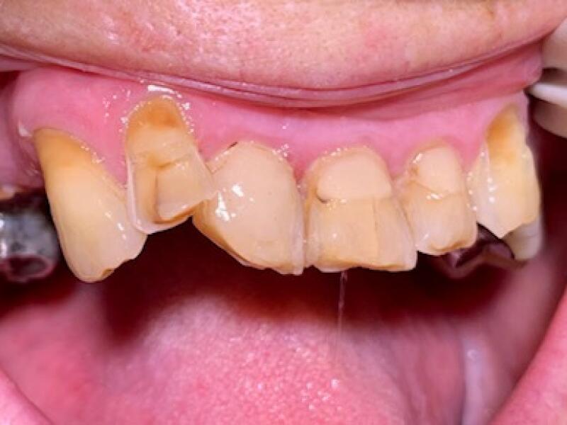
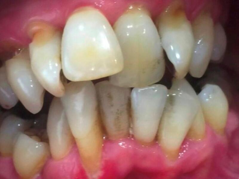
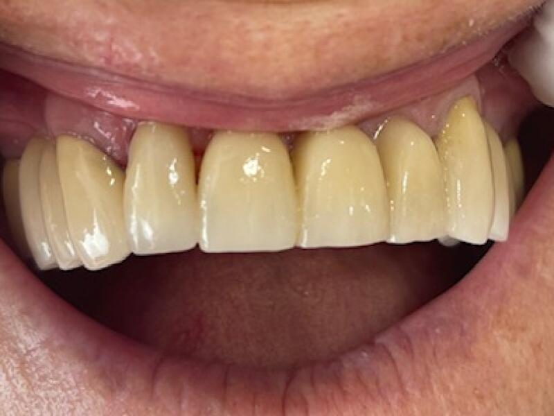
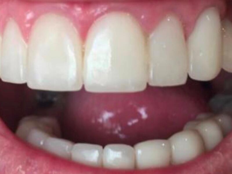
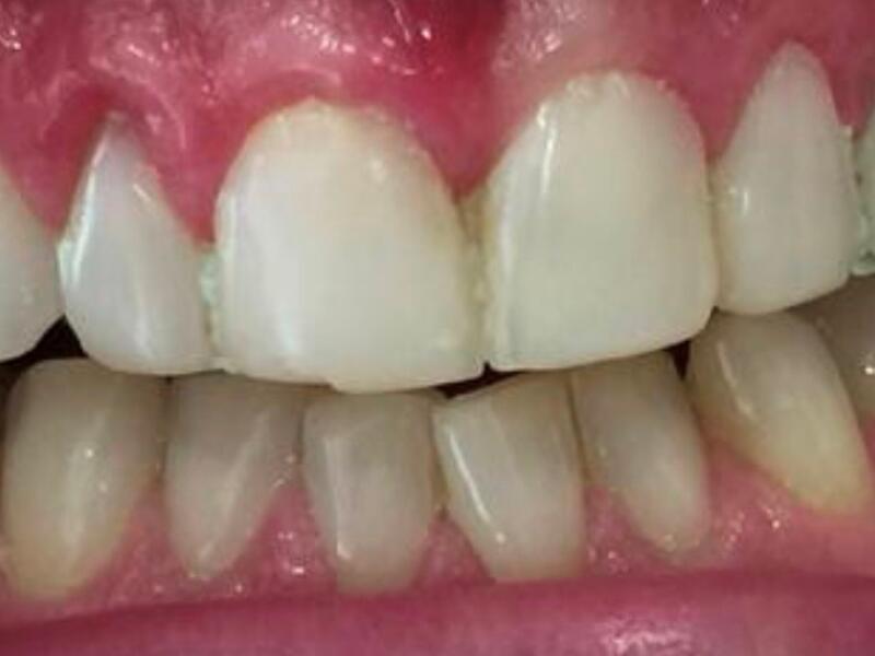
El uso de carillas dentales permite corregir el color de los dientes cuando el blanqueamiento dental es insuficiente. Permiten, en particular, reparar la forma de dientes rotos, desgastados o posiblemente demasiado cortos. Con las carillas dentales, también podemos mejorar las superposiciones y los espacios interdentales.
Una carilla dental está formada por una fina película de cerámica que se adhiere directamente al diente.
¿Para quién son las carillas dentales?
Sin duda, está dirigido a pacientes que deseen mejorar su sonrisa modificando muy levemente los dientes visibles.
¿Cuánto tiempo se necesita?
La instalación de una carilla dental es relativamente rápida, requiere una o tres citas en la oficina.
- La primera consulta consistirá en estudiar sus necesidades, tomar fotografías, tomar una radiografía y tomar impresiones de sus dientes para obtener un yeso.
- Los siguientes pasos dependerán obviamente de tu caso y del estado de tus dientes. De hecho, es posible que tenga que realizar un tratamiento dental antes de la instalación de sus carillas.
¿Cómo mantener una faceta?
Las carillas dentales no requieren un mantenimiento especial aparte de una impecable higiene bucal (uso del cepillo de dientes, hilo dental y raspado regular).
¿Está interesado en tener una o más carillas dentales?
Si está interesado en la instalación de una o más carillas dentales, comuníquese ahora con la secretaría de la Doctora Carolina Carbasse utilizando nuestra página de contacto.
