La ausencia de uno o más dientes es una desventaja importante. Esto plantea un gran problema funcional, fonético y estético. Para remediar esto, es posible utilizar un puente dental o una corona cuando se trata de reparar un diente roto. aquí hay algunas explicaciones sobre el puente dental y la corona.
¿Qué es un puente dental?
En inglés, Brige significa "Puente", de hecho, es un puente artificial que permite rellenar los agujeros de la dentición conectando los agujeros a los dientes que faltan.
En realidad, el brige es una prótesis dental que permite restaurar la apariencia y el funcionamiento casi idéntico a un diente real.
¿Cuáles son los diferentes tipos de puente dental?
Hay 4 tipos de puentes dentales. Doctor Carbasse le asesorará sobre el puente más adecuado para su caso.
- El puente dental convencional
- El puente adhesivo o Maryland
- El puente voladizo
- El puente completo
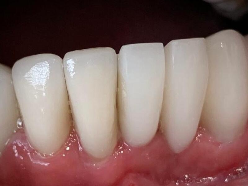
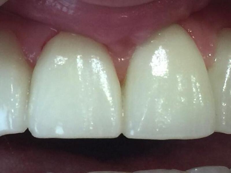
La corona dental
La corona es una especie de tapón que el Dr. Carbasse coloca sobre un diente para reparar su parte visible. La corona cubre el diente, lo protege y le da un aspecto natural. También ayuda a restaurar el color, la forma y la posición del diente.
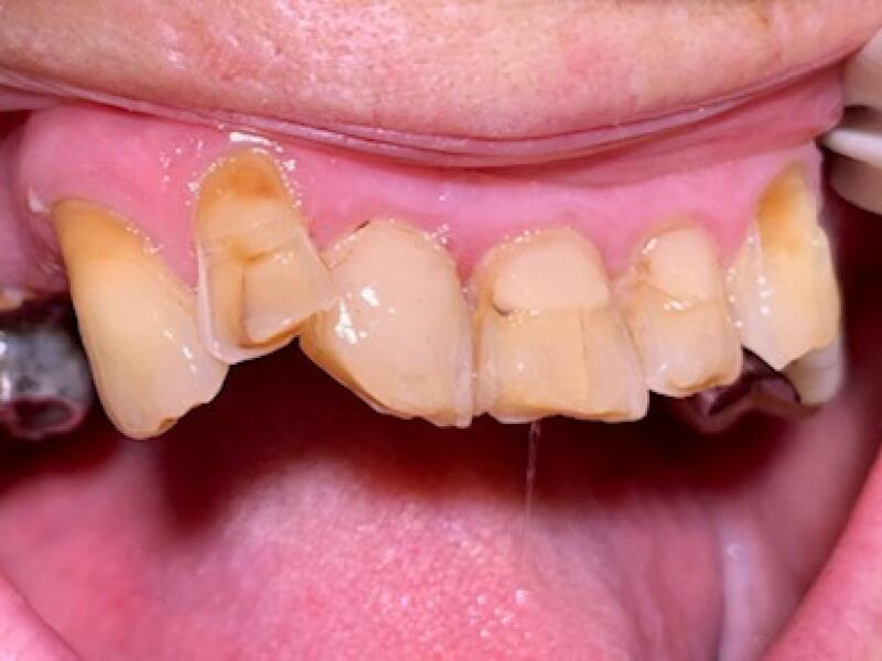
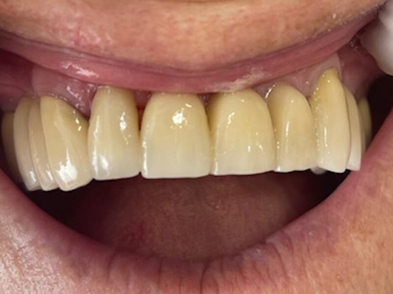
¿En qué caso instalar una corona dental?
Si tiene un diente desvitalizado o roto, pero también si tiene que colocar un implante, este último se atornillará sobre el implante.
La corona también puede dar una apariencia estética hermosa si su sonrisa no le conviene.
